TELEFON
0(216) 688 21 11
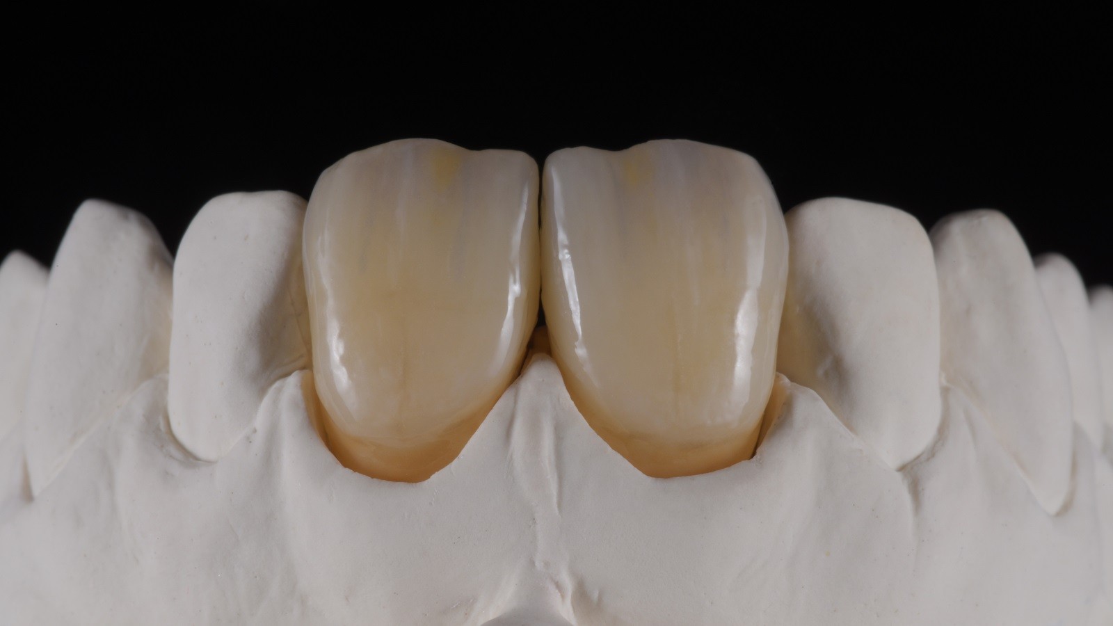
"HeraCeram cre-active ile HeraCeram Zirkonia 750 arasındaki sinerji, minimal tabakalama vakaları için yeni olanaklar sunmaktadır. Bu güçlü kombinasyon, diş teknisyenlerinin daha yüksek verimlilik ve hassasiyetle son derece doğal ve canlı restorasyonlar elde etmesini sağlar. Sezgisel kullanım ve tutarlı sonuçlar, bu ikiliyi estetik açıdan üstün zirkonya bazlı restorasyonlar oluşturmak için ideal bir tercih haline getirir."
Rüdiger Neugebauer, minimal tabakalama vakaları için HeraCeram cre-active ve HeraCeram Zirkonia 750’nin ideal kombinasyonu üzerine