HeraCeram cre-active’in eğitim videoları ile sanatsal potansiyelinizi ortaya çıkarın; kişiselleştirilmiş restorasyonlar için uzman ipuçları ve püf noktaları sunar.
Tek pişirimde santral insizal dişin kişiselleştirilmiş boyanması – Video Eğitim
Posterior diş bitim işlemleri – 1–3 pişirimde standart ve kişiselleştirilmiş boyama
Kişiselleştirilmiş Staining Konsepti
Zirkon çok katmanlı altyapılar – kişiselleştirmeye hazır
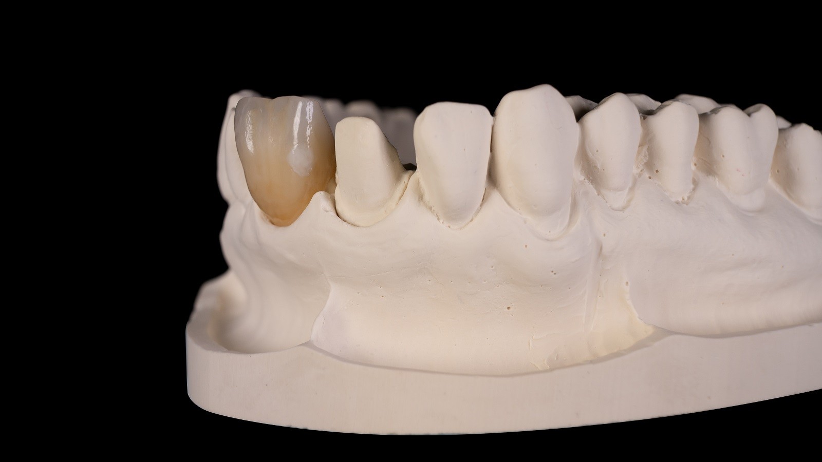
Servikal bölgede kromanın güçlendirilmesi: Alt gövde bölgesinin HeraCeram cre-active 2D Body A ile boyanması, servikal bölgede HeraCeram cre-active 2D Peanut uygulanması ve aproksimal bölgede yatay olarak HeraCeram cre-active 2D Coffee
İnsizal bölgede şeffaflık ve kontrast oluşturulması:HeraCeram cre-active 2D Aubergine ile insizal bölgede şeffaflık etkisi oluşturulması. HeraCeram cre-active 2D MD3 ile mamelon yapısının oluşturulması ve HeraCeram cre-active 2D VL3 ile artırılması.
İnsizal bölgede translusans ve kontrast ayarı: Mamelon yapısının HeraCeram cre-active 2D Anthracite ve HeraCeram cre-active 2D Pacific ile güçlendirilmesi. HeraCeram cre-active 2D Milk ile mine çatlaklarının oluşturulması. İnsizal bölgede HeraCeram cre-active 2D Anthracite ile şeffaflığın artırılması. Mezial insizal kenarda HeraCeram cre-active 2D Pacific ile şeffaflık oluşturulması. İnsizal bölgede HeraCeram cre-active 2D Amber ile kromanın artırılması.
Mine çatlakları ve kireç lekesi: HeraCeram cre-active 2D Milk ile mine kireç lekesi ve mine çatlaklarının oluşturulması.
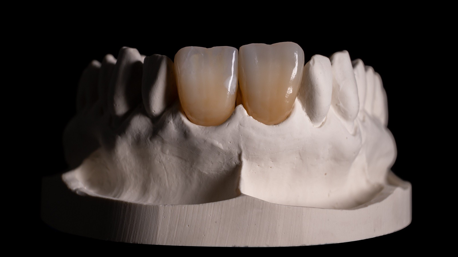
HeraCeram cre-active 2D pişiriminden sonraki nihai sonuç.
Artırılmış mine çatlakları ve kireç lekesi: HeraCeram cre-active 2D Milk ile mine çatlaklarının oluşturulması ve HeraCeram cre-active Glaze uygulanıp içine HeraCeram cre-active 2D Milk karıştırılarak mine kireç lekesinin oluşturulması.